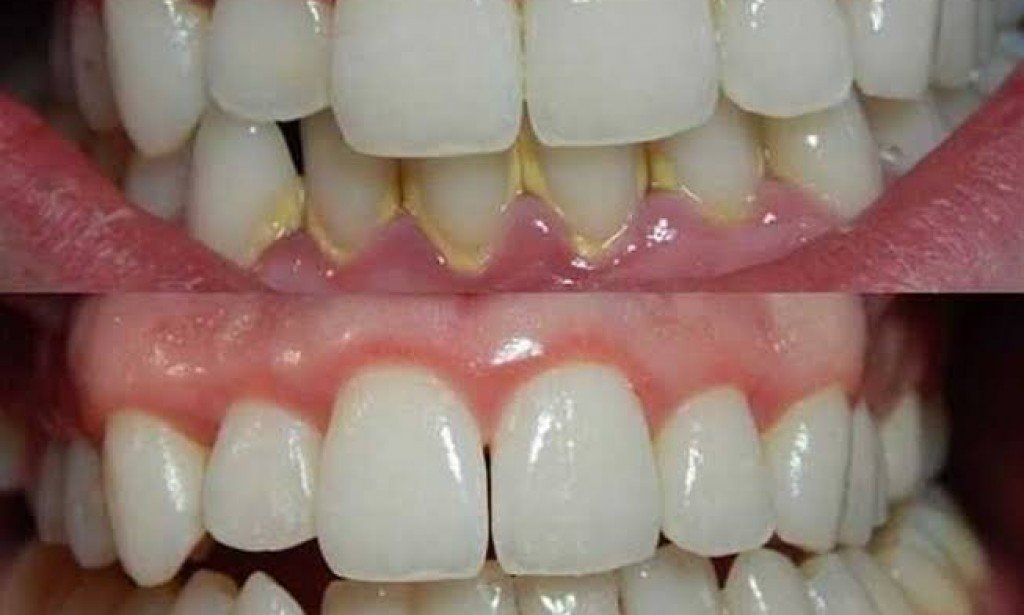
تنظيف جير الأسنان بالطرق المنزلية

 

تنظيف جير الأسنان، من أهم الطرق اللازمة،  للعناية والمحافظة على صحة الأسنان واللثة، حيث يوجد العديد من الأسباب لتكون الجير، من أهمها طبقات البكتريا الناشئة عن الأطعمة،  التدخين،  والقهوة،  والمشروبات الغازية، وإذا لم تتم إزالة طبقات البكتيريا باستمرار، فإنها تتصلب،  وتتطور إلى حصوات بيضاء، تعرف عند أطباء الأسنان بإسم الجير، الذي يسبب أضراراً بالغة، تؤثر في صحة  الفم والأسنان.

ما هو جير الأسنان.

 

جير الأسنان هو طبقة تتكون بين شقوق الأسنان، بسبب البكتيريا التى تحدث من بقايا الأطعمة، تتكون داخل الفم على صورة رواسب حمضية،  تبدأ تلك الطبقة في النموحتى تميل إلى اللون الأصفر،   ثم سرعان ما تشكل طبقة أعمق، وبقع سوداء بين الأسنان تسمى طبقة البلاك، وهي العامل الرئيسي في تسوس الأسنان، والتهابات اللثة، بالإضافة إلى وجود الروائح الكريهة للفم والشكل الغير مرغوب فيه.

أسباب تكون جير الأسنان.

هناك عدة عوامل تتسبب في تكون طبقات الجير بين الأسنان، ومن أهمها:

  • عدم العناية الشخصية بصحة الفم واللثة.

 حيث يعتبر الفم بيئة خصبة للبكتريا والكائنات الدقيقة، و لانه خط الدفاع الأول، فإنه معرض بشكل دائم لنمو الرواسب الضارة بسبب الطعام،  أو الشراب والتنفس، يجب الاعتناء الدائم بنظافة الفم والاسنان.

  • تناول الأطعمة الغنية بالسكريات والنشويات.

إن أكثر الأفرادعرضة لتكون جيرالأسنان، هم أولئك الذين يهتمون بتناول السكريات،  حيث تتغذى البكتيريا على السكريات المليئة بالكربوهيدرات، تمنح تلك العملية تكون الأحماض العضوية التي تساهم في انتشار الجير.

  • التدخين.

يساهم النيكوتين والقطران الموجود في السجائر بصورة كبيرة في تكون طبقات الجير تحت اللثة، والذي يعد من أخطر أنواع ملوثات الفم، حيث يتسبب في التأثير المباشر على عظام الفك.

ينتج الجير طبقة صلبة،  وقوية لا يستطيع إزالتها بكفاءة،  إلّا من خلال  طبيب الأسنان، بإستخدام أدوات خاصة، في الحالات الأكثر شيوعاً ستحتاج على الأرجح إلى زيارة طبيب أسنان عام لإزالة الجير تماماً، منعا لحدوث الخطورة التي نحاول أن تتجنبها، حيث إنَّ تراكم الجيرعلى الأسنان يتسبب في أضرار كثيرة.

 

أضرار تكون الجير 

 
  • آلام الأسنان.

  • تورم اللثة.

  • تجمعات صديدية.

  • تخلخل الأسنان.

  • تلوث الدم حيث أن تكاثر البكتيريا يجعلها تبحث عن بيئة جديدة في  منطقة غير الفم، و تكون غالبا من مسببات تلوث الدم.

  •  يدمر مينا الأسنان ويزيد من خطر الإصابة بأمراض اللثة.

  • يؤثر على صحة عظام الفكين

.

أنواع تنظيف جير الأسنان.

هناك الكثير من طرق العناية بالأسنان، من أهمها زيارة طبيب الأسنان بصفة دورية، والعناية المنزلية، قد يتخلص البعض من إزالة طبقات الجير بالطرق المنزلية العادية، ولكن ومع كل الأحوال يجب زيارة الطبيب مرة واحدة كل ستة أشهر، لتحديد مدى احتياج أسنانك للتنظيف، في أغلب الحالات سوف يقيم طبيبك الوضع تدريجياً، لتحقيق بإزالة تكلس الأسنان بكفاءة، واختيار أحد الطرق المناسبة، في الحالات العادية يتم استخدام طريقة الكحت والتنظيف من خلال الأدوات العادية، وإليك أهم أنواع تنظيف جير الأسنان.

  • الكحت والتنظيف بالأدوات العادية .

 تضمن كحت الجذور المتراكمة بسبب طبقات الجير، ثم تنعيم وتلميع سطح السن المكشوف، قد تستغرق تلك شهرا أو أكثر، بحسب عدد الجلسات التى يحددها طبيبك.

  •   كحت وتلميع الأسنان باستخدام جهاز الموجات فوق الصوتية.

 من الأجهزة الحديثة في مجال جراحات الأسنان، حيث تستخدم الموجات فوق الصوتية بمعدلات عالية، وتسبب حدوث انشقاقات في طبقة الجير، كما يمكن من خلاله استخدام خيط تنظيف الأسنان بنفس طريقة اهتزازات الموجات، يعزز جهاز الموجات فوق الصوتية طرقا فعالة، وآمنة، ويحافظ على طبقة المينا التي من الممكن أن تتأثر باستخدام الأدوات العادية.

  •   عملية كحت الجير وتلميع الأسنان باستخدام الليزر.

تشبه إلى حد كبير عملية كحت الجير بالموجات الصوتية، غير أنها مكلفة جداً،  و يتم استخدامها بصفة أساسية في تقنية تبييض الأسنان، وإزالة الجير، والتي تعطيك نتائج مدهشة، يستخدم تلك الطريقة أغلب الفنانين والممثلين المهتمين بجمال أسنانهم.

  •  تلميع الأسنان.

  يتضمن تلميع البقع الدقيقة والرواسب الدقيقة على طبقة المينا على الأسنان، مما يمنح الأسنان لمعاناً ساطعاً وأسناناً بيضاء، والقيمة الصحية التي يجلبها للأسنان، وقد يتم بأحد الطرق السابقة، ومن افضها تقنية الليزر.

 سعر تنظيف جير الأسنان 2022.

 يختلف السعر حسب المنطقة، والمركز الطبي المعالج، واسم الطبيب كذلك، ومن المعروف أن جراحات الأسنان من أعلى الجراحات تكلفة،  لذلك قد لا يهتم معظم الأفراد بالذهاب إلى طبيب الأسنان، ويفضلون ترحيل العلاج، نظرا للتكلفة العالية، ولكن يجب أن تعلم أن هناك مراكز طبية تقدم لك خدمة جيدة بالتقسيط، وهناك أطباء يعرضون أسعارا اقتصادية لبعض الفئات،  إلى جانب ذلك تقوم بعض العيادات داخل الجامعات،  بتقديم خدمات جراحات الأسنان بتكلفة مناسبة،  وبأحدث الأجهزة، وتبلغ تكلفة الجلسة العلاجية فى المتوسط ما بين 400 جنيه مصرى  إلى 1000 جنيه مصرى،   فى الجلسة الواحدة، علما بأن هناك بعض المراكز تقدم أفضل مستويات من العلاج بأسعار جيدة وخصومات مناسبة.

طرق منزلية للتخلص من جير الأسنان.

إن أفضل رهان هو عدم ترك الجير يتشكل على أسنانك، يمكنك ببعض الأفكار، والطرق البسيطة المتكررة بصفة يومية، التخلص من الجير،  ومنع الرواسب الضارة بين الأسنان، وإليك بعض النصائح : 

  •  استخدم الفرشاة بانتظام مرتين في اليوم لمدة دقيقتين على الأقل، لن يكفي الاستخدام لمدة 30 ثانية مرتين يوميًا إلى إزالة البلاك أو منع الجير.

  •  استخدم فرشاة ذات شعيرات ناعمة صغيرة بما يكفي لتناسب فمك،  وتأكد من وصولها إلى الأسطح التي يصعب الوصول إليها خلف أسنانك.

  •   اختر معجون أسنان جيد  للتحكم في الجير يحتوي على الفلورايد.

  •  الغرغرة بمطهر الفم مرتين يوميا بعد الوجبات. 

  •  عدم تناول أي وجبات غذائية، بعد غسل الأسنان، قبل النوم.

  •  خيط تنظيف الأسنان، حيث أن خيط تنظيف الأسنان هو الطريقة الوحيدة لإزالة البلاك بين أسنانك وإبقاء الجير بعيدًا عن هذه المناطق التي يصعب الوصول إليها.

  •  التقليل من  تناول السكريات، لأن  البكتيريا الموجودة في فمك، تتغذى على الأطعمة السكرية والنشوية.

  •  حاول أن تتبع نظامًا صحيحاً جيداً.

  •  منع التدخين أو التقليل ىمنخ، حيث تشير الدراسات إلى أن الأشخاص الذين يدخنون السجائر،  أو يستخدمون منتجات التبغ الأخرى،  هم أكثر عرضة للإصابة بجير الأسنان أكثر من غيرهم.

استخدام بيكربونات الصوديوم.

المكونات والطريقة.

  •  1 ملعقة كبيرة من بيكربونات الصوديوم.

  •   نصف معلقة من الملح.

  •  قم بترطيب الفرشاة بالقليل من الماء.

  •  افرك أسنانك بالمزيج من هذا المركب، مرة واحدة يومياً، حيث يساهم في إزالة الجير، وابيض الأسنان..

 الجلسرين النباتي والليمون والصبار.

 المكونات

  •  بيكربونات الصوديوم

  •  جلسرين نباتي 

  •  هلام الصبار

 الطريقه.

  •  ضع  نصف كوب من (بيكربونات الصوديوم) إلى كوب من الماء.

  •    أضف إليهم ملعقة صغيرة من هلام الصبار، و 5  قطرات من زيت الليمون، و2 ملعقة  صغيرة من الجلسرين النباتي ويمكنك شرائها من العطار، بشرط التأكد من جودة المنتج.

  • يتم خلط جميع هذه المكونات معًا جيدًا.

  •  قم بتخزينها في وعاء.

  •   استخدم كمية قليلة منه لغسل  أسنانك يوميًا، بفرشاة جيدة.

 القرنفل.

 يتميز بقدرته الفائقة على محاربة ألم الأسنان، ويُمكنه أيضًا المساعدة على التخلص من بلاك و جير الأسنان،



جير الأسنان من أخطر الأنواع المسببة لالتهابات الفم، تعتبر الأسنان هي اللبنة الأولى في بناء الجسم، كلما حافظنا عليها كلما قوي بنينان الجسم، وصحته، وعلاج الاسنان بصفة عامة، وإزالة الجير بصفة خاصة، لم تعد رفاهية كما ساد الاعتقاد الخاطئ،  حيث يتوجب عليك زيارة طبيب الأسنان بصفة دورية، لمعرفة احدث الطرق، والأسعار، وكيفية الوقاية من أمراض اللثة، وان لم تتم بصفة دورية، فإن أغلب الظن انك سوف تتكفل بمهمة العناية بأسنانك في منزلك، فحافظ عليها.




أعجبك المقال , قم بالان بالاشتراك في النشرة البريدية للتوصل بالمزيد

التعليقات

يجب عليك تسجيل الدخول لتستطيع كتابة تعليق

عن الناشر

صحفى وكاتب في عدة مواقع مصرية وعربية

مقالات رائجة